全身“发黄、瘙痒”,警惕是这个病!
个旧“人医”肿瘤科在州内率先开展DSA下经T管肝门区胆管支架植入术
很多时候,皮肤就好比身体健康的“晴雨表”,一些疾病往往会先从肤色变化上反映出来!
如果出现“全身发黄”的情况,是怎么回事呢?
那就要警惕是否患了“梗阻性黄疸”!梗阻性黄疸是由于胆汁排泄通路受到阻塞导致的临床症状,常表现为皮肤粘膜颜色发黄、大便颜色白、尿色变浓成茶水样。


引起梗阻性黄疸病因基本分两种,一种是良性胆道梗阻,常由于 胆道结石,胆道炎症引起;一种是恶性胆道梗阻,常见于肝门部转移癌、胆管癌、胰头癌、壶腹部癌等。
个旧62岁的刘阿姨正是因为“反复上腹疼痛10余年再发加重并黄疸三天”到医院就诊,检查出胆囊癌、胆管癌,手术治疗后病情好转出院。三个月后,刘阿姨因对术后留置T管(体外引流胆汁)感不适及出现全身瘙痒症状,到个旧市人民医院肿瘤科就诊。

“胆道阻塞不仅会引起黄疸,还会刺激皮肤中的C型纤维末梢,再传导到神经中枢,直达躯体感觉皮层,继而产生皮肤瘙痒。”肿瘤科梁海峰主任解释。
怎样才能做到既不放置体外引流T管,又能解决刘阿姨的胆道梗阻及其症状,提高生活质量?
经科室多次讨论,并请教云南省肿瘤医院肿瘤介入科主任黄明教授,决定为刘阿姨行更加微创,对病人损伤更小的治疗方案:DSA下经T管肝门区胆管支架植入术。

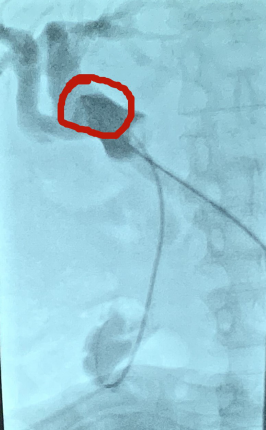
T管近端与胆总管下段方向形成近360°夹角
术中,肿瘤科手术团队在DSA引导下,不开任何切口,经留置T管开展手术。由于T管近端与胆总管下段方向形成近360°夹角(正常为经皮直接穿入),位置“刁钻”,并且胆总管上段、下段形成2处狭窄,为手术实施带来了重重险阻!
但肿瘤科团队凭借精湛的技术,在黄明教授指导下,成功经过T管在患者胆道梗阻段置入胆管支架,使胆汁流通顺畅,在肝总管、胆总管与肠道间建立起一个通道,使胆汁流到肠道,从而不用带体外引流管。手术历时50分钟,没有创口,顺利完成!
DSA下经皮肝门区胆管支架植入术和经皮胆道外引流术是介入治疗的重要技术之一,主要针对管道肿瘤引起的胆道梗阻及梗阻性黄疸患者,目的是达到快速减压、减黄和缓解胆道梗阻症状,利于患者肝细胞功能的恢复,改善全身情况,从而提高肿瘤患者的生活质量。
但肿瘤科此例手术为减少患者损伤,直接利用患者身上的体外引流管道开展手术,也因此增加了很大难度:按常规经皮穿刺,导管、导丝可直达管道,而经留置T管,由于T管本身形状和放置位置,使手术线路形成刁钻角度,成为手术“盲点”,改变了常规术式,相当于要反方向操作,这就要求术者有较强的手术能力,非常考量术者的技术水平。
该技术的成功开展再一次体现了肿瘤科强大的综合实力,丰富了我院微创诊疗体系,进一步提升了我院在相关领域的整体治疗水平。